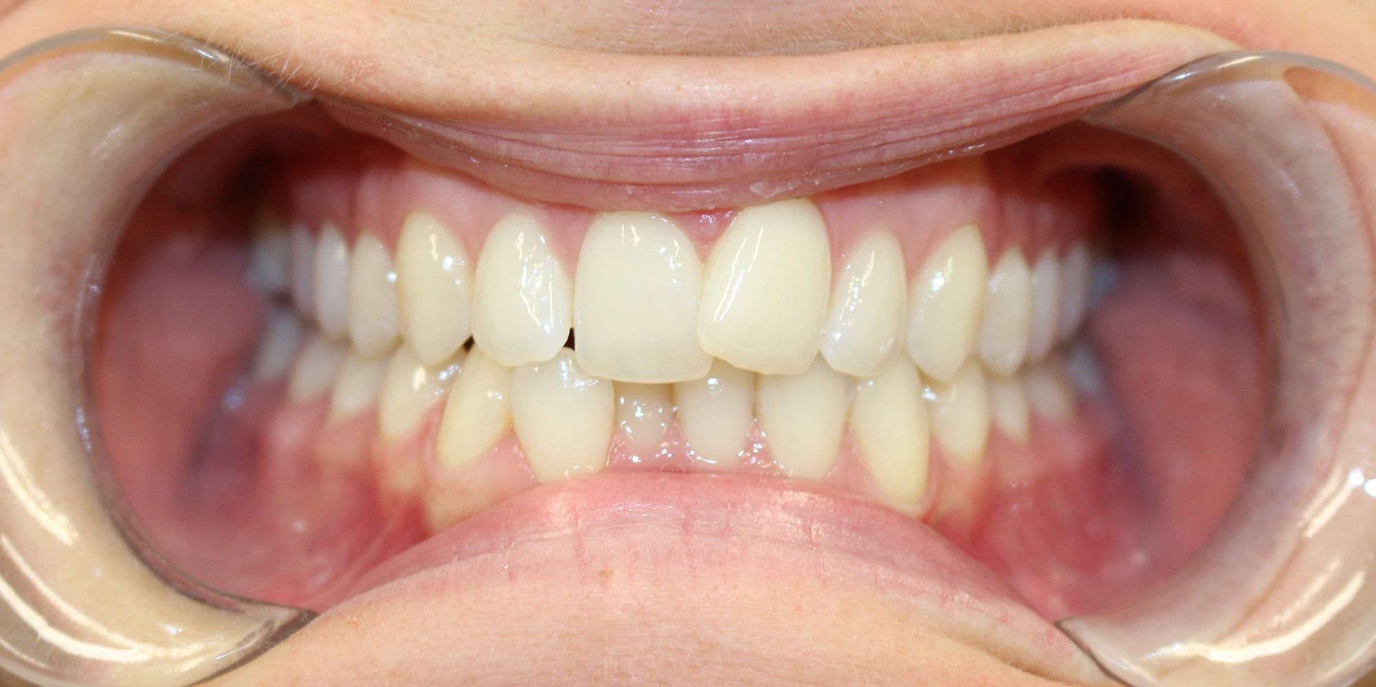
Invisalign and straighter teeth in New Malden
Straighten your teeth with Invisalign from as little as £8.50 per day, with 0% finance.
We offer complimentary consultations, whitening and retainers for all our Invisalign patients.
Call us today on
020 8949 5252
72 Coombe Road, New Malden,
Surrey KT3 4QS
We offer complimentary consultations, whitening and retainers for all our Invisalign patients.

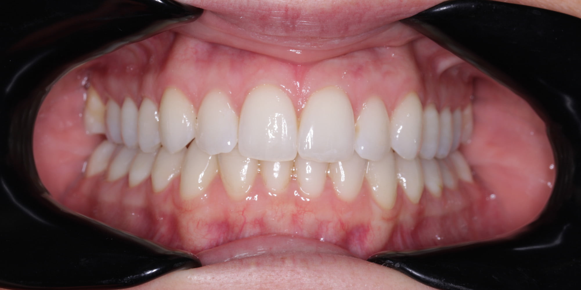
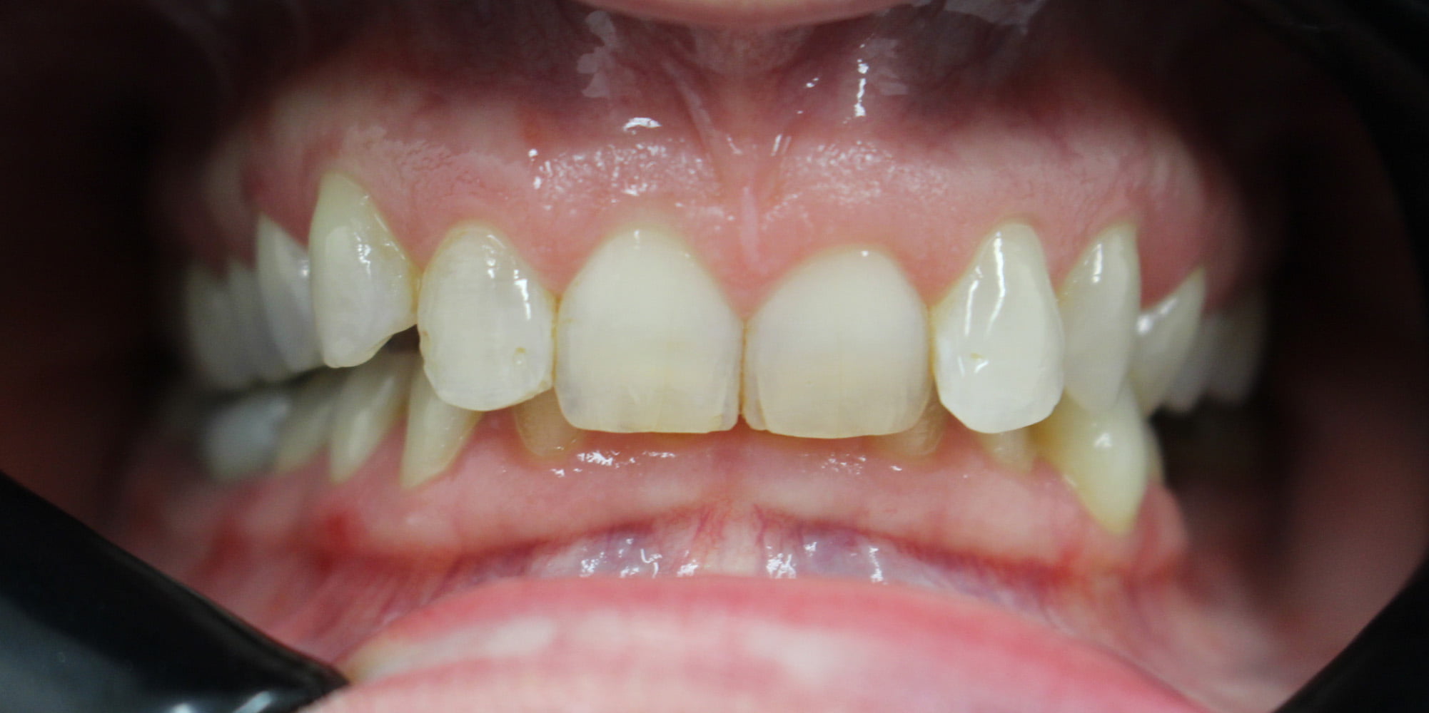
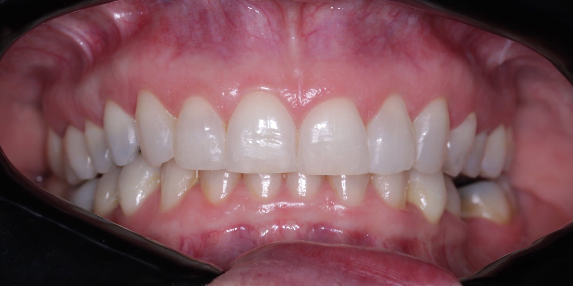
Straighten your teeth the clear and comfortable way. Invisalign is a very popular orthodontic treatment, offering a discreet, minimally invasive and very effective way to transform the way your smile looks. It is very easy to use, with a custom made set of lightweight and comfortable aligners gradually moving your teeth into the desired position.
All you need to do on your journey to your dream smile is wear your removable aligners for 22 hours per day, so the gradual forces can get to work. The aligners can be taken out for eating, drinking and brushing your teeth, and you don’t have to make any drastic diet or lifestyle changes for your Invisalign treatment to be successful. You can still enjoy the things you love and get a newly straight and confident smile at the same time!

We know that sometimes it helps to spread the cost, enabling you to pay for your Invisalign treatment in convenient monthly instalments. We offer flexible finance options with Chrysalis Finance, making your dream straighter smile more affordable.
0% finance is available over 12 months, and you could pay for your treatment from as little as £8.50 per day!
All it takes is a simple selfie and you can preview a new smile in seconds. If you like what you see, why not give us a call to make it a reality?
The Invisalign system uses advanced 3D computer-imaging technology so we can carefully plan your treatment and create a series of bespoke aligners to successfully move the positions of your teeth.
At your initial appointment, we examine your teeth and gums and ensure you are a suitable candidate for treatment. We take digital scans and images, which are used to create your comfortable and accurate aligners. We can even use our innovative technology to show you what your smile will look like after treatment!
We plan your Invisalign treatment, showing you step by step how your teeth will move and create your final smile. We’re happy to answer any questions you may have.
You will need to wear each aligner in the series for 1-2 weeks, moving your teeth little by little until your new- smile has been achieved. The aligners control the amount and timing of the movement based on your treatment plan to ensure your straightening journey goes smoothly.
We see you for regular checks every 4-6 weeks to monitor your progress and ensure we achieve the very best results.
Once you have worn your last aligner, treatment is complete and you can get ready to show off your new straight smile! We will give you a final retainer to keep your teeth in their new positions for the long term.

You need to wear your aligners for 22 hours per day to keep your treatment on track and ensure you will achieve the best results. The aligners can be removed for eating, drinking and brushing your teeth, but it is important to remember to put them back in your mouth as soon as possible.
Your Invisalign treatment time will vary depending on the complexity of your individual case. Milder cases can see results in as little as three months, with most Invisalign treatments completed in 3-18 months. If you need more complex straightening treatment, you will need more aligners and to wear them for longer. We will advise you of your expected treatment time at your consultation appointment.
When you first start wearing your aligners, you may find that your speech is different, but this is to be expected. It will take a few days for you to get used to the feel of the aligners in your mouth but you should be talking clearly and confidently again soon.
Cleaning your teeth while you are having Invisalign treatment is very easy! You simply pop the aligners out of your mouth, enabling you to brush and floss as normal, and maintain excellent oral hygiene. It is important to ensure you put your aligners back in as soon as possible to keep your treatment on track, and keep them in a hard container when out of your mouth to avoid damage.
Yes, Invisalign clear aligners are designed with comfort in mind, with no metal included whatsoever. Innovative digital technology ensures they fit snugly and accurately, and you will find they are easy to wear for 22 hours per day.
If you lose or break one of your aligners, don’t panic! Contact us as soon as you can so we can advise you on the next steps. In the meantime, you can wear an aligner from your previous set to prevent your teeth from moving too far out of line. We may also advise that you move straight onto your next set of aligners.
All our Invisalign treatments are bespoke, meaning the cost of your treatment depends on your individual case. At Groves Dental Centre, Invisalign starts from £3795, and we have flexible finance payment options to help make it more affordable. We give you an exact treatment cost based on the examination and assessment we carry out during your initial consultation.
Retainers are a very important part of any orthodontic treatment, as they keep your teeth in their new straighter positions. Your teeth will move out of place over time, so you will need to wear your retainers at night for the long term to ensure your new smile is maintained.
"What a wonderful practice, the treatment and care I have received over the years at Groves Dental Centre has been first class.
My dentist has always taken extra care and explained things fully before carrying out any treatment. I couldn't be happier!"
- Mrs A. Smith"To all at the Groves
Thank you so much for taking care of me. Even though I am an extremely nervous patient, you all put me at ease straight away.
I can't thank you enough for your kindness and patience."
- Mrs S S"My family come to this surgery and spoke very highly of the place, and I can't recommend them enough.
I travel for over an hour to have my treatment at the Groves as I know I will receive quality care.
The whole team are professional and approachable.
- Mr H N© Groves Dental Centre, 72 Coombe Road, New Malden, Surrey KT3 4QS | Site updated: May 2026
Call us today on: 020 8949 5252 | Or email us on: info@grovesdentalcentre.co.uk
Areas we serve include: New Malden, Wimbledon and surrounding areas
Website and SEO by Dental DesignComplaints procedure Privacy Policy Site Privacy Notice